Khoảng 50% người trưởng thành mắc bệnh nha chu. Điều này có vẻ không phải là vấn đề lớn nhưng bệnh nướu răng làm tăng nguy cơ đau tim, đột quỵ, viêm phổi và tiểu đường. Sau đây là 4 giai đoạn của bệnh nha chu mà bạn nên tham khảo để biết cách điều trị kịp thời.
Bệnh nha chu có 4 giai đoạn nhưng may mắn thay, nếu bạn phát hiện bệnh ở giai đoạn đầu thì bệnh có thể chữa khỏi. Mọi người đều muốn nướu khỏe mạnh vì nó ngăn ngừa sự tích tụ mảng bám và các vấn đề nghiêm trọng khác. Trong bài viết này, nha khoa Tracy sẽ thảo luận về 4 giai đoạn của bệnh nha chu để bạn có thể tránh được các vấn đề.
Bệnh nha chu là gì?
Trước khi hiểu được 4 giai đoạn của bệnh nha chu, trước tiên chúng ta phải hiểu nó là gì.
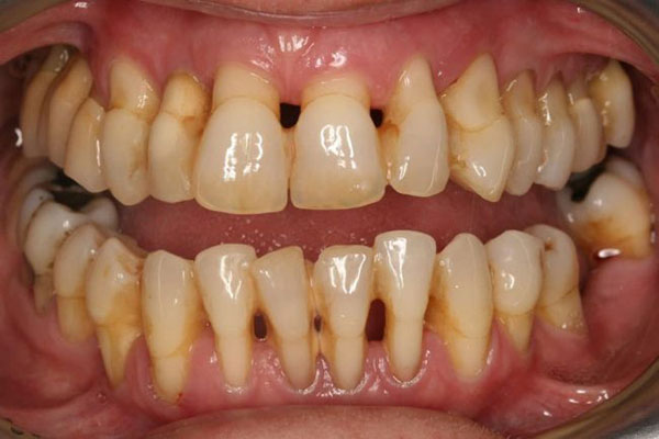
Bệnh nha chu là tình trạng nhiễm trùng do vi khuẩn ở nướu, xương và mô dây chằng quanh răng. Trong giai đoạn này của bệnh nướu răng, vi khuẩn xung quanh mô nướu khiến cơ thể bạn bị viêm. Tình trạng viêm làm cho nướu của bạn trông đỏ, sưng tấy và sưng tấy.
Điều này thậm chí có thể dẫn đến chảy máu nướu răng. Các triệu chứng khác của bệnh nha chu bao gồm:
-
Răng lung lay
-
hơi thở hôi
-
Nhai đau
-
Nướu bị tụt
Theo thời gian, nếu không điều trị tình trạng này sẽ gây tiêu xương, mất răng và bắt đầu tấn công xương hàm của bạn.

4 giai đoạn của bệnh nha chu
Mô nướu hay còn gọi là nướu là mô giữ răng của bạn đúng vị trí. Nó cũng có xương bên dưới để neo và hỗ trợ chân răng của bạn. Nếu bạn có nướu không khỏe mạnh, xương dưới răng cũng trở nên không khỏe mạnh và không thể hỗ trợ răng của bạn.
Suy thoái nướu cũng xảy ra với bệnh nướu răng. Nướu tụt xuống khi các mô xung quanh răng bị mòn đi, khiến răng lộ ra ngoài và hình thành các túi nướu. Những túi này là lời mời cho vi khuẩn gây bệnh và có thể phá hủy xương nâng đỡ của răng.

Viêm nướu

Viêm nha chu sớm được gọi là viêm nướu và là giai đoạn sớm nhất của bệnh nha chu. Đây cũng là giai đoạn duy nhất có thể đảo ngược vì vi khuẩn chưa tấn công xương.
Vì vậy nếu bạn nghi ngờ mình mắc bệnh nướu răng, hãy đến phòng khám nha khoa ngay lập tức. Bạn sẽ tiết kiệm được thời gian và chi phí điều trị.
Đây là giai đoạn quan trọng nhất vì nó không gây đau đớn. Hầu hết các triệu chứng bạn thấy đều có vẻ bình thường và đó là lý do tại sao nó lây lan sang giai đoạn 2. Bệnh nướu răng ở giai đoạn đầu không dễ phát hiện. Bạn sẽ không thấy các dấu hiệu nghiêm trọng cho đến giai đoạn thứ 3 hoặc nâng cao.
Bệnh nha chu nhẹ
Bệnh nha chu nhẹ là giai đoạn thứ hai của viêm nha chu. Đây là giai đoạn đầu tiên vi khuẩn bắt đầu tấn công xương gây mất xương vĩnh viễn. Tuy nhiên việc kiểm soát bệnh nha chu nhẹ vẫn khá dễ dàng.
Nếu bạn đang ở giai đoạn thứ hai của bệnh nha chu, bạn sẽ bị sưng nướu, nhạy cảm và chảy máu nhiều hơn.
Trước tiên, bạn cần đặt lịch hẹn tại văn phòng nha sĩ địa phương. Họ sẽ khuyên bạn nên làm sạch sâu. Làm sạch sâu khác với làm sạch thông thường vì nó loại bỏ cặn vi khuẩn bị mắc kẹt dưới nướu của bạn. Việc làm sạch và dùng chỉ nha khoa thông thường không thể loại bỏ những túi vi khuẩn này.
Nha sĩ cũng sẽ khuyên bạn nên dùng chỉ nha khoa và đánh răng hai lần một ngày và tránh thức ăn có đường.
Bệnh nha chu vừa phải
Viêm nha chu vừa phải là giai đoạn thứ ba của bệnh. Bạn không thể đảo ngược bệnh nha chu ở mức độ vừa phải. Đây là lúc nguy cơ mất răng của bạn tăng vọt. Các túi nha chu đạt độ sâu khoảng 6 đến 7 mm và điều này tạo điều kiện cho nhiều vi khuẩn xấu tấn công nướu và các cấu trúc xương nâng đỡ răng của bạn.
Đây cũng là giai đoạn vi khuẩn bắt đầu tấn công hệ thống miễn dịch và xâm nhập vào dòng máu của bạn. Điều này làm tăng nguy cơ mắc bệnh tim, đột quỵ và tiểu đường.
Lượng mảng bám, vi khuẩn và cao răng bắt đầu tăng lên khi viêm nha chu ở mức độ vừa phải và điều này gây khó khăn cho việc kiểm soát. Bạn sẽ cần phải đến gặp nha sĩ để cạo vôi răng và nhổ răng. Việc làm sạch sâu này làm giảm số lượng vi khuẩn tích tụ dưới răng của bạn.
Ở giai đoạn này, ngay cả khi bạn đã làm sạch răng chuyên nghiệp thì vẫn có nguy cơ bị mất răng. Răng lung lay khi tiếp xúc với vi khuẩn, mảng bám và nướu bị tụt.
Bệnh nha chu tiến triển

Viêm nha chu tiến triển là giai đoạn cuối của bệnh nướu răng. Ở giai đoạn cuối cùng này, nhiễm trùng sẽ tiến sâu hơn và điều này tạo điều kiện cho nhiều vi khuẩn phá hủy xương nâng đỡ răng của bạn hơn. Người ta ước tính rằng bạn có 50% đến 90% khả năng bị mất xương, tùy thuộc vào mức độ nghiêm trọng của bệnh nướu răng.
Đây là lúc bạn bắt đầu thấy mủ chảy ra từ nướu. Chảy máu cũng trở nên dữ dội hơn và nướu của bạn luôn cảm thấy đau và viêm. Răng của bạn bắt đầu rụng và bạn cần phải khắc phục tình trạng hôi miệng vì nó trở thành vấn đề đối với những người xung quanh.
Trong một số trường hợp, giai đoạn này cần phải phẫu thuật nha chu. Liệu pháp laser nha chu cũng có thể giúp làm sạch vi khuẩn trong cặn bám của bạn.
Trong những trường hợp nghiêm trọng, nha sĩ có thể đề nghị cạo vôi răng và bào chân răng . Đây là một thủ thuật nhằm giảm thiểu kích thước các túi viêm và khuyến khích tái tạo mô nướu. Thuốc kháng sinh thường được dùng để kiểm soát nhiễm trùng và chữa lành mô.
Nếu không được điều trị và không có hành động chuyên môn, sức khỏe nướu của bạn sẽ chỉ trở nên tồi tệ hơn cho đến khi bạn mất hết răng. Viêm nha chu tiến triển còn có xu hướng phá hủy xương hàm và có thể gây ra các vấn đề nghiêm trọng về hàm.
Đây là lý do tại sao điều quan trọng là phải đến gặp nha sĩ càng sớm càng tốt và lên lịch kiểm tra thường xuyên. Ngoài ra, đánh răng và dùng chỉ nha khoa hai lần một ngày và ăn thực phẩm lành mạnh là rất quan trọng để đánh bại bệnh viêm nha chu tiến triển và các giai đoạn tiến triển của bệnh nướu răng.
Nguyên nhân gây ra bệnh nha chu
Bệnh nha chu không xảy ra trong 1, 2 ngày. Nó phát triển qua nhiều tháng, năm do sơ suất và vệ sinh răng miệng kém. 3 nguyên nhân lớn nhất gây ra bệnh nha chu là:
Bỏ qua vệ sinh răng miệng cơ bản
Không đến gặp nha sĩ thường xuyên
Ăn thực phẩm không lành mạnh
Bỏ bê vệ sinh răng miệng cơ bản
Bệnh nha chu là do sự tích tụ mảng bám trên răng và dưới nướu của bạn. Một trong những cách tốt nhất để chăm sóc răng và nướu là đánh răng sạch, cạo vôi định kỳ. Khi không làm điều này, bạn sẽ để vi khuẩn có thời gian ổn định và không thể loại bỏ được nếu không có sự trợ giúp của chuyên gia.
Đến gặp nha sĩ sáu tháng một lần là rất quan trọng để giữ cho miệng của bạn sạch sẽ và khỏe mạnh.
Trong cuộc sống hiện đại, chúng ta đang ăn quá nhiều đồ ăn vặt đã qua chế biến và đó là một trong những lý do lớn nhất khiến bệnh viêm nướu và bệnh nha chu trở nên phổ biến.
Để tránh điều này, hãy hạn uống có chừng mực, có thể ăn các thực phẩm chế biến sẵn, nhưng hãy dùng với mức độ phù hợp.
Trên đây là nguyên nhân và diễn biến của bệnh nha chu mà bạn nên tham khảo, qua những thông tin này bạn sẽ hiểu rõ về mức độ nguy hiểm của bệnh, từ đó biết cách giữ gìn răng miệng khỏe để có một cuộc sống chất lượng hơn.
Thông tin liên hệ:
NHA KHOA TRACY VIỆT NAM
Điện thoại: 0901 39 59 54
www.nhakhoatracy.vn
www.phamthaotrang.vn
https://www.youtube.com/@tracydentist
https://www.tiktok.com/@tracy.dentist/
https://www.instagram.com/nhakhoatracy.vn/
Fanpage:
https://www.facebook.com/nhakhoatracy/
https://www.facebook.com/tracydentist.vn/

